2019-05-09 19:54:46 来源:kaiyun登录中国入口登录 浏览数:0
已有研究表明茶树是一种喜铵作物,但有关茶树响应铵态氮的巴豆酰化修饰机制至今未见报道。赖氨酸巴豆酰化修饰(Crotonylation)参与转录调控并能够改变蛋白质的理化性质,其在细胞过程中发挥着重要作用。kaiyun登录中国入口登录丁兆堂教授团队以一年生的青农3号茶树品种为材料,对茶树铵态氮缺乏/复供条件下非组蛋白巴豆酰化修饰的响应机制进行了探讨。

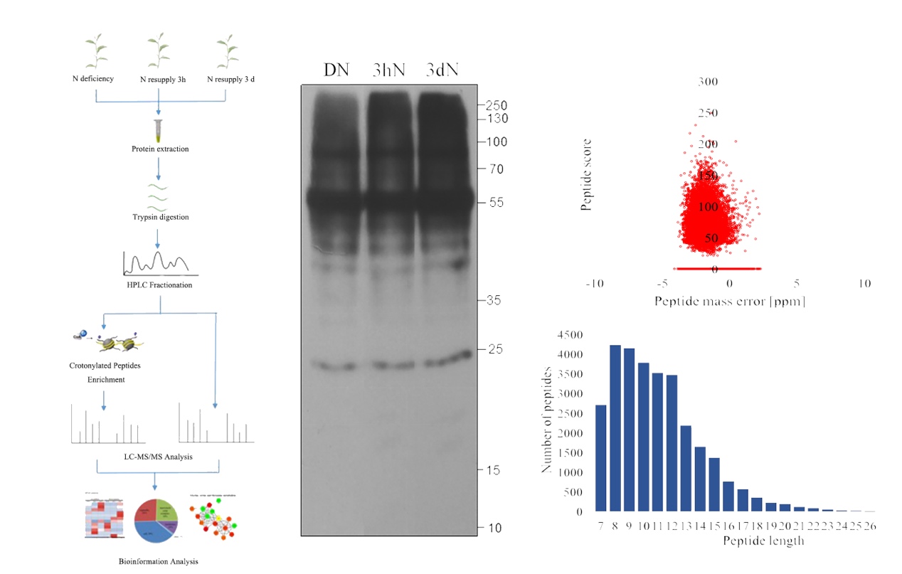
Western Blotting分析表明茶树叶片中的蛋白质普遍存在巴豆酰化修饰,而且巴豆酰化修饰水平在铵复供3小时和3天时具有明显变化,这表明在铵复供后茶树叶片中蛋白质发生了明显的赖氨酸巴豆酰化修饰。

该研究发现,在铵复供条件下,茶树叶片中的971种蛋白质上存在2288个赖氨酸巴豆酰化修饰位点。其中,大多数巴豆酰化修饰蛋白位于叶绿体和细胞质中。与铵缺乏相比,在铵复供3小时和3天分别有120和151个巴豆酰化修饰蛋白差异表达。这些修饰蛋白主要参与茶树初级代谢过程,如光合作用(PsbO、PsbP、Pbs27,PsaN、PsaF 和 FNR),碳固定(rbcs、TK、ALDO、PGK 和 PRK)和氨基酸代谢(SGAT,GGAT2,SHMT4 和 GDC)。

通过对差异表达巴豆酰化修饰蛋白进行分析,发现这些蛋白质主要富集在巴豆酰化修饰介导的光合作用、碳固定和氨基酸代谢通路中,并形成密切的相互作用网络。值得关注的是,大量发生了巴豆酰化修饰的酶,如Rubisco、TK、SGAT 和 GGAT 在蛋白水平上没有显著变化,但其活性却显著改变,这意味着巴豆酰化修饰在茶树酶活性调节中具有重要作用。
该研究首次阐述了铵(NH4+)供应触发茶树中赖氨酸巴豆酰化的反应机制。论文发表在国际著名学术期刊《BMC Genomics》上,得到了山东省现代农业产业技术体系项目、山东省现代农业重大技术创新项目支持。硕士研究生孙健皓和邱晨为论文共同第一作者,泰山学者特聘专家、山东省茶叶产业体系首席专家丁兆堂教授为论文的通讯作者。
Jianhao Sun, et al., 2019, Ammonium triggered the response mechanism of lysine crotonylome in tea plants, BMC Genomics. https://doi.org/10.1186/s12864-019-5716-z
通讯作者介绍
丁兆堂,博士,泰山学者特聘专家,二级教授,享受国务院特殊津贴专家,山东省有突出贡献的中青年专家,山东省现代农业产业技术体系茶叶创新团队首席专家,中国茶叶学会常务理事,山东省农业专家顾问团林果分团成员,山东省园艺学会茶学专业委员会主任委员,kaiyun登录中国入口登录学术委员会委员,澳大利亚莫道克大学博士生导师,kaiyun登录中国入口登录kaiyun登录中国入口登录硕士生导师,青岛市茶叶学会理事长、青岛市农业专家顾问团成员,《茶叶科学》、《山东农业科学》编委等。
鲁ICP备13028537号-5 鲁公网安备 37021402000104号
版权所有:Copyright © 开云·(中国)kaiyun官方网站 - 登录入口版权所有
地址:山东省 青岛市 城阳区 长城路700号 邮编:266109